Dental Implants
Case 1


Case 2
Multiple Implants Replacing Back teeth


Case 3
Full Upper Arch treatment : with Implants and Bridges combo


Case 4
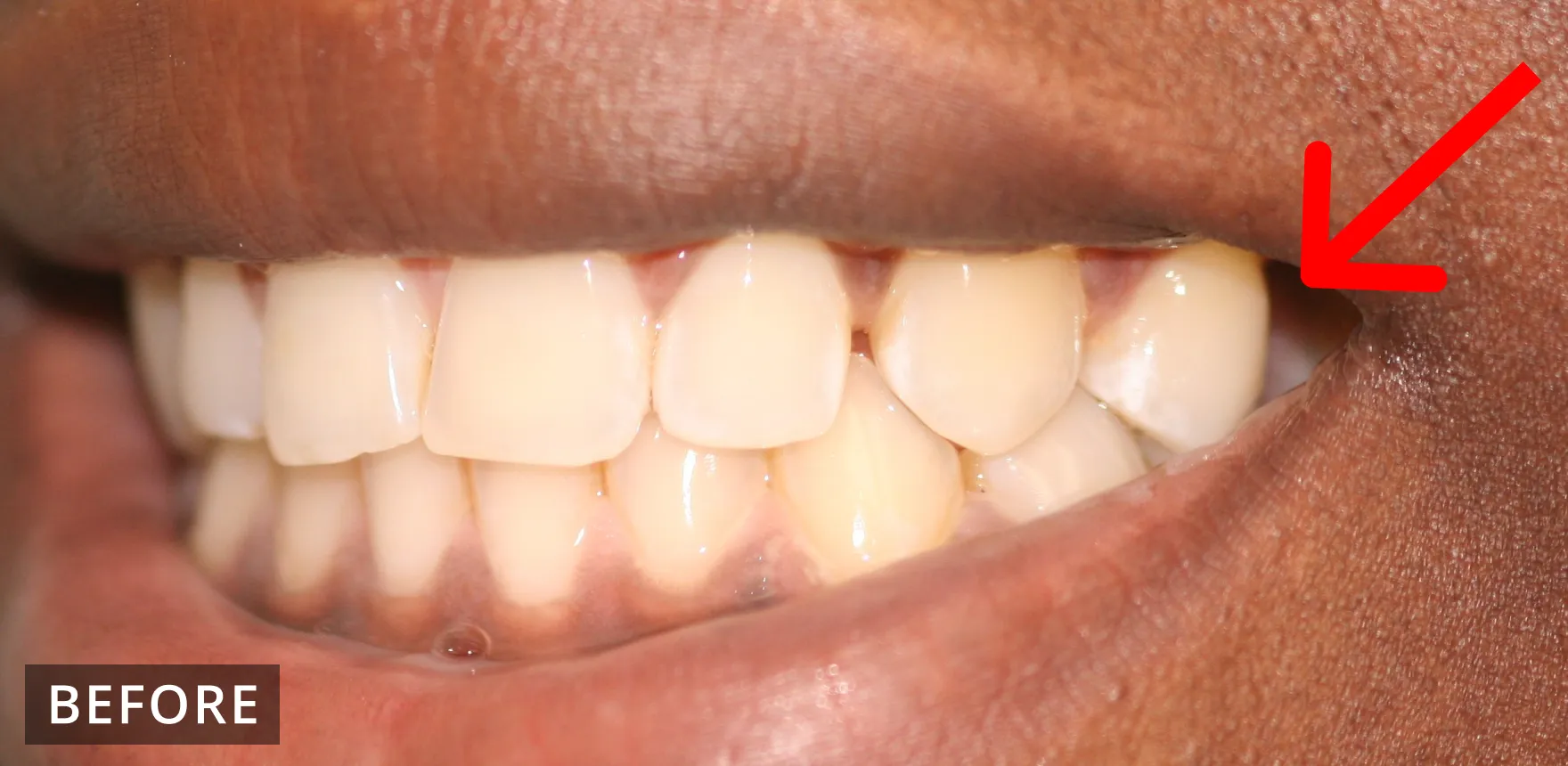
Single Implant: Replacing one side tooth


Case 5


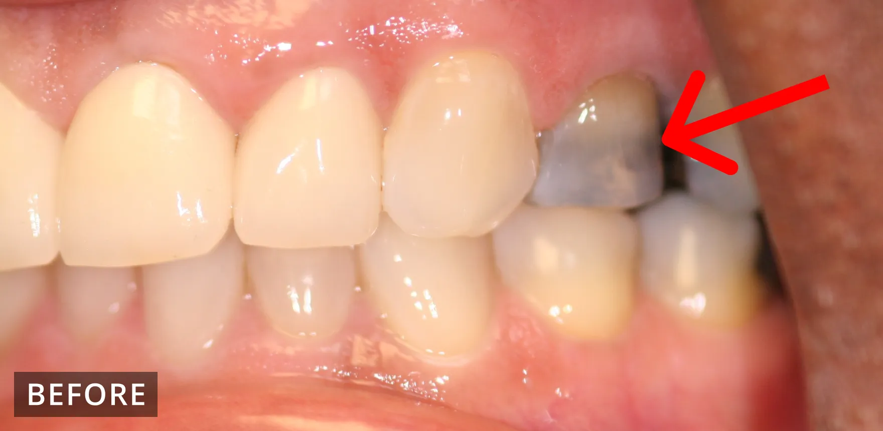
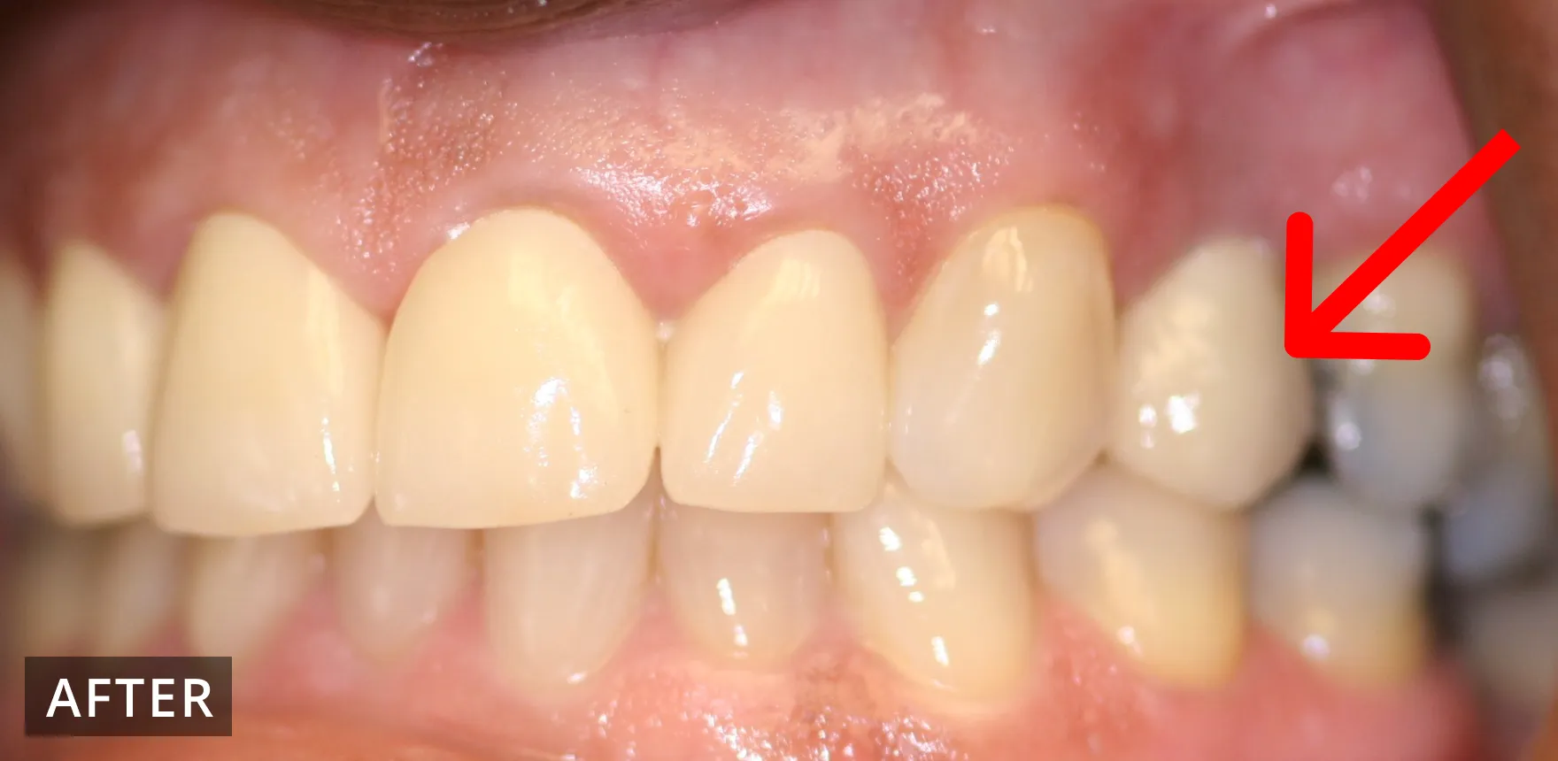
Case 6
Single Implant: Tooth previously filled with large silver filling - fractured, requiring removal and replacement with single implant


Bridges
Case 1
Bridge after extractions


Case 2
Anterior bridge


Case 3
Lower anterior bridge


Case 4
Lower front bridge after extraction and spaces


Case 5
Bridge upper extraction


Case 6
Upper crowns and implants


Case 7
Lower bridge and upper multiple implants combination


Case 8
Upper front bridge


Case 9
Missing front teeth replaced with porcelain bridges


Crowns
Case 1
Replacement of missing tooth and older unaesthetic crowns with new crowns and bridges combo


Case 2
Upper and lower combination of crowns and bridges after multiple extractions


Case 3
Upper front crowns and dentures combination


Case 4
Full Arch upper Implant Supported Bridge : after removal of all upper teeth


Case 5
Lower broke and missing teeth : replaced with Bridge and Partial Denture Combo


Full Mouth Rehabilitation
Case 1
Full mouth rehabilitation upper and lower multiple extractions, crowns and bridges


Case 2
Full mouth rehabilitation upper and lower multiple extractions, crowns and bridges


Dentures
Case 1
Full upper and lower dentures


Case 2
Full upper and lower dentures


Case 3
Partial upper and lower dentures


Case 4
Partial upper and lower dentures


Case 5
Denture to full upper implants conversion and lower bridge


Full Mouth Makeovers
Case 1
Full upper arch reconstruction, extractions, implants, crowns, veneers and bridge


Case 2
Full mouth makeover: implants, bridges, crowns and veneers


Case 3
Full mouth reconstruction: lower implants and upper denture


Case 4
Full mouth makeover


Bonding
Case 1
Bonding tooth


Veneers
Case 1
Veneers and whitening after braces


Case 2
Veneers, gap reduction and smile enhancement




Case 3
Veneers, Smile Enhancement: of discolored teeth and replacement of older fractured/worn veneers


Case 4
Veneers, Crowns, Root Canal and Gingival Recontouring - Fixing decayed teeth, uneven teeth , gums and smile enhancement




Case 5
Smile Enhancement of Broken, Discolored teeth with Veneers




Case 6
Veneers: Smile Enhancement of Discolored teeth


Connect with Us
We're here to provide you and your family with an amazing dental care experience.
Call (973) 245-9943 or schedule online to set up your visit. We'll be in touch soon.
Call (973) 245-9943 or schedule online to set up your visit. We'll be in touch soon.